动物选择:
SPF级雌性BALB/c小鼠、6周龄
实验试剂及器材:
器材:多功能诱咳引喘仪、注射器、灌胃器
药品:氨水,生理盐水,中药汤剂、阳性药
实验分组:
空白组、模型组、处方低剂组、处方中剂组、处方高剂组、阳性药组
实验方法:
正常对照组与模型组:灌胃方式给予生理盐水
给药组:采用相应汤剂进行灌胃,连续灌胃3周
在实验第15天,运用浓氨水刺激法进行造模(雾化15秒,随后观察2分钟),刺激过程持续7天。最后一天暴露2小时后,处死并取材,以便开展后续实验
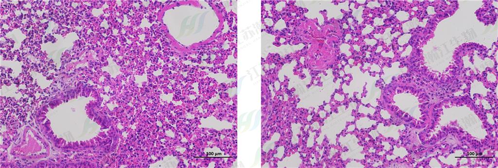
模型评价:
1.体重变化和咳嗽次数

2.肺脏组织HE染色

3.Elisa检测
检测小鼠血清中炎症指标,如TNF-α等