试验动物选择
采用SPF级SD大鼠,雄性,体重250-260g
实验分组
空白组、模型组、处方低、中、高剂量组、阳性对照组
实验方案
造模前一天,大鼠禁食不禁水,空腹12h,第2天开始造模,麻醉大鼠,剃毛器备皮,将其固定在动物手术台上,碘伏消毒后铺上无菌孔巾,确定大鼠心脏位置(3-4肋间)剪开皮肤,逐层钝性分离胸部肌肉层,暴露心脏,消毒的带线缝合针穿行大鼠左冠状动脉前降支处结扎动静脉血管,稳定后,心电图机记录肢体导联心电图,以出现J点偏移或升高、T波高耸判断心肌缺血和心肌梗死的形成,肉眼观察缺血心肌呈现暗红色为结扎成功。逐层缝合肋间肌肉和皮层,术后肌肉注射青霉素钠20万U/d,连续3天预防感染。假手术组在心肌组织血管处仅穿线不结扎。造模后24 h存活的大鼠进入实验分组,分为5组,每组8只。分组后给药4-5周。

假手术鼠及模型鼠造模过程图

造模前、后大鼠心电图
模型评价
- 心电图
- 心动超声
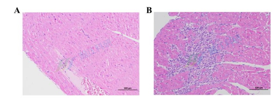
- 空白组、模型组HE染色

- 心重指数、心胫比
- 生化:CK、CK-MB
- Elisa:cTnT、MMP-9