呼吸系统可是我们身体的 “气体交换站”,但它特别容易 “中招”—— 作为临床超常见的 “高频病”,病变主要盯上气管、支气管、肺部和胸腔这些核心部位。轻一点的话,会让你咳嗽不停、胸口发闷,呼吸都变得 “不顺畅”;严重起来可就麻烦了,不仅会呼吸困难、缺氧 “喘不上气”,极端情况下还会因呼吸衰竭危及生命,妥妥的 “健康绊脚石”!
从 “致命排行榜” 来看,这类疾病在城市死因里排第三,到了农村更是直接 “登顶” 第一,杀伤力不容小觑。更值得警惕的是,随着大气污染、吸烟、人口老龄化这些 “隐形杀手” 发力,慢性阻塞性肺疾病(也就是咱们常说的慢阻肺,包含慢性支气管炎、肺气肿、肺心病)、支气管哮喘、肺癌、肺间质纤维化,还有各种肺部感染等疾病,发病率和死亡率都在 “一路飙升”,真是让人不得不重视!

要想攻克这些呼吸 “顽疾”,则需要模拟病症类型,它们就像一群精准的 “疾病模仿达人”,完美复刻人类呼吸系统疾病的发病特点,帮科学家们摸清疾病的 “套路”、测试新药的 “威力”。
呼吸系统主要疾病动物模型可以分成 8 大 “实力派战队”:咳嗽动物模型、支气管哮喘动物模型、慢性支气管炎动物模型、肺气肿动物模型、肺心病动物模型、肺水肿动物模型、肺纤维化动物模型、肺结核病动物模型、肺硅沉着症动物模型。
呼吸系统不同疾病模型介绍及应用
| 动物模型 | 疾病描述 | 应用 |
|
咳嗽动物模型 |
通过刺激动物的气道或喉咙来诱发咳嗽反应 |
评估神经递质受体拮抗剂对咳嗽反射的影响; 研究咳嗽机制和途径 |
| 支气管哮喘动物模型 | 通过特定刺激(如过敏原)引起过敏性气道炎症和支气管收缩 |
评估支气管舒张剂的效果和安全性; 研究哮喘病理生理学和炎症机制 |
| 慢性支气管炎动物模型 | 长期暴露于刺激物(如烟雾、化学物质)导致气道慢性炎症和纤维化 |
评估抗炎药物的疗效和抗纤维化作用; 研究疾病进展和纤维化机制 |
| 肺气肿和肺心病动物模型 | 暴露于特定刺激(如烟雾、化学物质)导致肺泡破坏和肺循环功能障碍 |
评估肺保护药物和心血管治疗药物的效果; 研究肺气肿和肺心病机制 |
| 肺水肿动物模型 | 引起肺间质或肺泡内液体积聚,导致氧合功能受损 |
评估利尿剂和抗水肿药物的疗效; 研究肺水肿发生机制 |
| 肺纤维化动物模型 | 暴露于刺激物(如化学物质、放射线)导致肺组织纤维化和瘢痕形成 |
评估抗纤维化药物的疗效; 研究肺纤维化的病理生理学和分子机制 |
| 肺结核病动物模型 | 感染肺结核菌导致肺部炎症和结核病 |
评估抗结核药物和免疫治疗的效果; 研究结核病的发展和免疫机制 |
| 肺硅沉着症动物模型 | 暴露于硅尘颗粒引起肺内粉尘沉积和慢性炎症 |
评估防护设备和治疗策略的效果; 研究肺硅沉着症的病理生理学和机制 |
小鼠急性咳嗽模型构建
1.造模原理
浓氨水是一种较强的化学刺激物,动物吸入氨水气雾后,刺激呼吸道感受器,引起咳嗽
2.实验准备

仪器:多功能诱咳引喘仪、注射器、灌胃器
试剂:氨水,生理盐水,中药汤剂、阳性药
实验分组:空白组、模型组、中药处方组、阳性对照组
3.造模方法
正常对照组与模型组:灌胃方式给予生理盐水
给药组:采用相应汤剂进行灌胃
连续灌胃3周,在实验第15天,运用浓氨水刺激法进行造模(雾化+观察),刺激过程持续7天。最后一天暴露2小时后,处死并取材,以便开展后续实验

模型评价
1.体重变化和咳暾次数

与正常对照组(仅喷生理盐水)相比,模型组小鼠需满足:①咳嗽潜伏期显著缩短;②5分钟内咳嗽次数显著增加(通常≥5次),且组内个体差异较小,即可判定模型构建成功
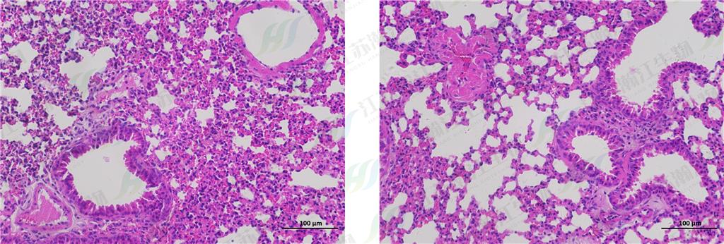
2.肺脏、支气管组织HE染色

3.Elisa检测炎症指标
注意事项
• 浓氨水浓度控制:浓度过高易导致小鼠呼吸道严重损伤甚至死亡,浓度过低则无法诱发咳嗽,需严格把控。
• 观察标准统一:咳嗽动作的判断需由同一人完成,避免因不同观察者的主观判断差异导致数据误差,建议提前培训观察者,明确典型咳嗽的判定标准。
•咳嗽潜伏期是指从喷入氨水开始至发生咳嗽所需的时间(秒数)。小鼠咳嗽以腹肌收缩(缩胸),同时张大嘴为准,有时可有咳嗽声,观察必须仔细,也可用听诊。
• 动物伦理遵循:实验过程中需遵循动物伦理要求,减少小鼠痛苦,模型构建后若需处死小鼠,需采用人道的处死方式,如颈椎脱臼法。
总结:
小鼠浓氨水致咳嗽模型以其高相关性、易操作性和稳定性,在刺激性咳嗽的研究中占据不可替代的地位。无论是初入科研的新手,还是经验丰富的研究者,掌握该模型的构建与应用技巧,都能为呼吸系统疾病的研究添砖加瓦。
如果您在模型构建过程中遇到问题,或者想了解其他呼吸系统疾病模型的细节,欢迎留言交流!关注我们,后续为您带来更多科研模型干货~